こんな状態で矯正をあきらめたり、躊躇したりしていませんか?
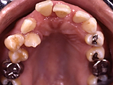
歯周病
確かに矯正治療を行う場合は、歯の周りの組織が健全であることが条件になります。
しかし、歯周病の治療を充分に行い、コントロールができていれば矯正は可能です。
実際の治療例



この患者さんの場合は、おそらく「もともとのかみ合わせが歯周病を悪化させ、その歯周病がますます歯並びを悪くする」という悪循環におちいっていたと思います。
治療中は北海道大学附属病院保存科と連携をとって矯正を進めていきました。現在は歯の揺れも生理的な範囲に落ち着き、よく噛めるようになりました。



治療について
「前歯が出てきた」ことを気にされて、38歳から治療を開始しました。 不正咬合の種類は「上顎前突」でした。右上の親知らず(智歯)を抜歯し、主にマルチブラケット装置を用いました。前歯の重なりが調整出来るまでは、上顎にバイトプレートという装置も併用しました。治療に際しては、一般的な矯正治療に伴うリスクの説明とともに歯周病が懸念される状態だったため、特に「歯が失われる」「歯槽骨が減少する」可能性ついても説明を行いました。動的治療期間は2年4カ月、保定装置を装着するまでの治療費は¥685,000(税別)でした。
成人の場合に
若年者に比べれば矯正治療に対する組織の反応は旺盛でないかもしれません。しかし特別な全身疾患がなく、歯周病に対するケアを充分に行えば、いくつになっても矯正治療を受けることができます。
実際の治療例



53歳から治療を始められた患者さんです。
矯正中はとても熱心に口腔清掃を心がけられて、全く問題なく治療を終えました。
トータルの治療期間も約2年間でした。



治療について
「受け口」を気にされて、53歳から治療を開始しました。 不正咬合の種類は、骨格的な要因のある「反対咬合」でした。下顎右側智歯を抜歯し、主にマルチブラケット装置を用いました。上下の前歯が逆に噛んでいる状態から改善出来るまでは、上顎にリンガルアーチ、下顎にスライディングプレートという装置も併用しました。治療に際しては、一般的な矯正治療に伴うリスクの説明とともに、特に口腔清掃の重要性についてよく説明を行いました。動的治療期間は2年0カ月、保定装置を装着するまでの治療費は¥664,000(税別)でした。
抜かなければならない歯がある
不幸にも虫歯等が悪化して抜歯が必要と言われたら・・・・。
矯正ではその抜いた隙間を利用して治療を行ったり、まわりの歯を移動させて隙間をつめてしまったりすることも可能な場合があります。
実際の治療例



この患者さんは左下の6歳臼歯の歯根の状態が悪く、あまり長くもたないことが予想されました。
そこでその歯を抜き、代わりに倒れている親知らずを並べることにしました。
このように矯正治療では、あまり寿命の長くない歯を抜いて、代わりに通常では抜歯の対象となるような親知らずを並べることもできます。

治療について
「前ならび、かみ合わせが気になる」との訴えで、23歳から治療を開始しました。
不正咬合の種類は「叢生と右側第二大臼歯の鋏状咬合を伴う上顎前突」でした。上顎左右側第一小臼歯、下顎右側第二小臼歯、下顎右側智歯とともに、状態の悪い下顎左側第一大臼歯を抜歯し、主にマルチブラケット装置を用いました。さらに上顎奥歯の固定を強化するため、トランスパラタルアーチも併用しました。治療に際しては、一般的な矯正治療に伴うリスクの説明とともに、特に「下顎左側智歯が充分に動かない」「下顎左側に抜歯スペースが残る」という可能性ついて説明を行いました。動的治療期間は2年9カ月、保定装置を装着するまでの治療費は¥715,000(税別)でした。
金属アレルギー
歯科では、様々な金属を合金その他の形で使用しています。金属アレルギーの原因金属がお口の中でイオン化して溶け出し、誘発量に達するとお口の中や皮膚に症状※が現れます。
※扁平苔癬、掌蹠膿疱症、異汗性湿疹、アトピー性皮膚炎様の症状など
この患者さんは問診の際、金属アレルギーであるというお申し出があり、事前に皮膚科にてパッチテストを受けていただきました。その結果、ニッケルに敏感であることが分りました。


治療はセラミックおよびチタン製のブラケットを用い、ワイヤーもニッケルを含まないものを使用しました。
治療を通じてアレルギー症状は全く現れず、現在はプラスチック製の装置で保定を行っています。
最近ではインビザラインを用いることで、メタルフリーでの治療も可能になりました。
※適応症状かどうかは、ご相談下さい。

- AM10:00 ~ PM1:00
PM2:30 ~ PM7:00

- AM10:00 ~ PM1:00
PM2:30 ~ PM5:30

- 水曜・祝祭日

- 札幌市中央区大通西5丁目8 昭和ビル4F

- 0120-418-252
011-242-6246
【駐車場のご案内】

カモンチケット加盟店
歯並びなどでお悩みの方は、こちらからご相談ください。








