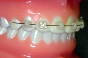
セルフライゲーション・ブラケット装置(デーモンシステム)
シャッター開閉式のブラケットと形状記憶型ワイヤーを用いる、新しい矯正歯科治療です。ワイヤーをブラケットに縛り付けないので、非常に弱く生体にやさしい力で治療を進めることが出来ます。
デーモンシステムの特徴
■治療期間の短縮
■痛みの減少
■抜歯の可能性が減少
■清掃性が良い
などが挙げられます。
しかし、どうしてもシャッター部分の金属が気になる患者様には、「クリアスナップ」を併用しています。
これは樹脂製のふたのようなものをブラケットにはめ込む構造で、デーモンシステムと似たような効果を発揮するとともに、審美性も犠牲にしません。
歯列矯正用咬合誘導装置(ムーシールド):受け口(反対咬合)の早期治療
3歳児健診で指摘されたらご相談下さい。
3歳で受け口(反対咬合)のお子さんが、自然に治る確率は約6%といわれています。
早期治療の役割は、正常な成長を妨げる因子を除去することで、少しでも早く正しい成長発育ラインに乗せてあげることです。
「ムーシールド」は寝ている間の使用(お口の中にはめるだけ)で効果を発揮し、低年齢児でも無理なく治療することが可能です。
反対咬合は成長とのかかわりが大きい不正咬合で、特に遺伝的な要因のある場合は永久歯に生え換わった後、再治療が必要となる可能性もあります。しかしその場合でも、早期治療を行ったことで負担を軽く出来ると考えられます。
料金
100,000円 ※早期治療費(装置料、調節・観察料を含む)税別
※再治療(本格治療)が必要となった場合は、
「成長期の治療」の前期治療費から早期治療費を差し引いた額を納めていただいて治療を継続いたします。
舌側矯正(リンガルブラケ ット矯正法 )
矯正治療を受けたいけれど目立つ装置には抵抗がある、他人に気づかれずに歯並びを治したい。
そのようなご希望がある場合には、リンガルアプライアンス(舌側矯正装置)をお勧めします。
新しいリンガルアプライアンス~STbライトリンガルシステム
裏側から矯正治療を行う場合の短所として、舌や発音への影響があげられます。
STbライトリンガルシステムは従来の装置より小型化され、装着時の快適性が増すとともにお口の衛生管理が行い易くなるなどの利点もあります。
歯科矯正用アンカースクリュー
矯正治療は、どこかを「支え」にして歯の移動を行います。場合によっては、その「支え」を患者さんに使っていただく装置(ヘッドギアなど)に求めることがあります。
しかしその装置が指示通りに使用されないと十分な結果が得られなかったり、治療期間が長引いてしまうことがあります。
歯科矯正用アンカースクリューは、生体に親和性の高いチタン合金を用いた直径1.4~2.0mmのネジのようなものです。これを顎の骨に埋め込み「支え」とします。
歯科矯正用アンカースクリューを併用することで患者さんの負担が減り、歯を効率的に動かすことが出来るので結果として治療期間の短縮にもつながります。
また、従来の方法では不可能であったことも出来るようになり、矯正治療の幅も広がります。
マウスピース型矯正装置(インビザライン)
インビザラインは、まず3次元コンピュータ画像技術を駆使して治療のシュミレーションを行います。そしてその結果に基づき、それぞれの患者さんにあった一連のカスタムメードのマウスピース「インビザライン・アライナー」を製作します。このアライナーを約2週間ごとに新しいものに交換し装着することで、きれいな歯並びへと徐々に変化を遂げていきます。
アライナーは、透明なので歯に付けていても目立ちません。また自分で簡単に取り外せるので、いつもと変わらない食事が可能で、歯磨きやフロスも普段どおりに行えます。
※症状によっては、従来の装置との併用が必要となる場合もあります。
※インビザラインは完成物薬機法対象外の装置であり、医薬品副作用被害救済制度の対象外となる場合があります。
※インビザラインは米国アライン・テクノロジー社の製品であり、アライン・テクノロジー・ジャパン株式会社を介して入手しています。
料金
700,000円 ※インビザライン(装置料、調節料を含む)税別

- AM10:00 ~ PM1:00
PM2:30 ~ PM7:00

- AM10:00 ~ PM1:00
PM2:30 ~ PM5:30

- 水曜・祝祭日

- 札幌市中央区大通西5丁目8 昭和ビル4F

- 0120-418-252
011-242-6246
【駐車場のご案内】

カモンチケット加盟店
歯並びなどでお悩みの方は、こちらからご相談ください。







